刷牙|7岁男孩长了“双排牙”,需要一颗一颗拔掉,奶奶:都怪我

文章插图
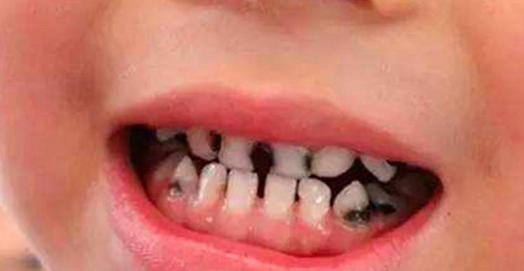
出牙过早或者过晚都需要引起家长的重视,必须及时去医院牙科就医。多多的父母工作比较忙,平时一直都是由奶奶照顾多多,负责多多的起居饮食。眼看着身边和多多差不多大的孩子都开始陆陆续续换牙,多多妈妈不免有些着急,孩子已经7岁了,可是迟迟不见牙齿有动静。之前听说换牙晚是因为缺钙,可是多多身上的表现并不像缺钙的样子。妈妈每天都会观察多多的牙齿。有一天突然发现孩子的乳牙后面萌出了几个小白点,这让她很快的联想到之前网上提到过的双排牙。
【 刷牙|7岁男孩长了“双排牙”,需要一颗一颗拔掉,奶奶:都怪我】

文章插图
于是她赶紧带着孩子去医院,医生检查后告诉她确实是双排牙,也许是因为平时孩子吃的食物太过精细,缺少咀嚼的机会,才会出现这种非正常的状态。在医生的建议下,妈妈只有同意一颗一颗拔掉,否则牙齿很难长出。奶奶得知后不由后悔:都怪我。原来平时奶奶对他的饮食非常用心,以前经常做一些软烂的食物给他吃,甚至连水果都是削好煮好后再给他,就怕他咬不动或者被噎着,谁曾想到这反而会害了孩子呢?

文章插图
如何预防出现双排牙?1、注意日常饮食习惯家长要适当的给孩子吃一些粗粮,不要让孩子的饮食全部都以精细食物为主,因为一旦孩子的牙齿没有过多的咀嚼机会,就会影响他们养成正常的发育,从而造成牙齿畸形。所以多给孩子吃一些水果蔬菜,会对他们的牙齿发育很有好处。这里需要强调的是不能把水果煮烂或者是打成果汁,而是让孩子直接抱着水果啃,这样才是正确的进食方法。

文章插图
2、定期进行牙齿检查父母千万不要忽略孩子的乳牙,认为乳牙迟早要换,所以就不用在意。因为乳牙发育的好坏,直接关系到恒牙的健康,如果乳牙出现一些明显不好的现象,比如有龋齿或者是没有光泽,一定要及时医治。

文章插图
3、养成良好的生活习惯有些孩子特别喜欢用嘴巴去尝试物品,如果是在孩子的口欲期,那么这样的行为属于正常现象。但是如果过了口欲期孩子依然如此,很有可能就是一些不良习惯。当孩子习惯性的舔牙齿,或者是舔手指的时候,都会对牙齿的正常发育造成影响。

文章插图
孩子应该如何保护牙齿?1、勤刷牙漱口孩子一定要养成勤刷牙漱口的习惯,尤其在吃了一些甜食之后必须及时漱口,以免食物里的残渣留在牙齿里,影响牙齿的健康。刷牙一般建议一天两次,有的孩子会偷懒,只刷一次或者不刷牙,这些对牙齿的健康都是不利的。

文章插图
- 性别|为何男孩出生率越来越高?原因有4点,和家长脱不开关系
- 老两口|67岁高龄孕妇产女后续,3个多月已有13斤重,一家人其乐融融
- 鲍喜顺|中国第一巨人鲍喜顺:不听忠告57岁生下一子,儿子现状如何?
- 男孩|研究证明生男孩的产妇会更疼,原因很科学,生男生女真的有区别
- 妈妈|8岁男孩瘦成皮包骨,检查后才知是“脾虚”,妈妈4大行为成元凶
- 肠坏死|7岁男童检查出“肠坏死”,奶奶悔恨万分:菜市场一物,别再买了
- 夫妻俩|男孩去年患上重病,一年多治疗花上百万元,家里仍不放弃治疗!
- 小仁|7岁男孩便便不受控,无法上学!马龙手术来解决,没有阑尾,还可造个
- 家长|7岁女儿语文考试得99.5分,回家闷闷不乐,妈妈看试卷后泪目
- 男孩女孩|为啥初中多半是“男女同桌”?班主任的用心良苦,父母知道吗?
