一阵急促的救护车警笛响过,一位全身发绀、呼吸急促的65岁男性患者被紧急送入郴州市第三人民医院呼吸与危重症医学科病房,当晚的值班医师、主治医师黄亚林迅速接诊了该患者。
患者呼吸急促、言语不能成句、呼吸频率达50次/分、心率达130次/分左右,口唇发绀明显;常规面罩吸氧10L/分情况下、指脉氧只徘徊在50%-70%左右。
情况十分危急,科室呼吸治疗师杨芳立即配合黄亚林医师对患者予以无创呼吸机辅助通气。
面对丈夫病情如此严重,患者的妻子浑身颤抖。
在稍作安抚后,患者的妻子向黄医师讲述了病情发展史。
患者65岁,既往身体状况良好,无高血压、糖尿病等基础疾病。
起病前曾去乡下打理自己饲养的鸡鸭,有家禽接触史,归家后出现腹泻症状,于外院就诊检查时新冠核酸检测阴性、无相关流行病学史,基本排除新冠肺炎可能。
患者在外院进行肺部CT显示左下肺实变影,但仅局限在左下肺,与患者目前症状体征严重不符。
黄亚林医师判断,经过三天的病情发展,肺部病变可能已经发生了翻天覆地的变化,病变很可能已经迅速扩散。
但在短短3天时间内,患者病情进行性加重、迅速恶化,来势凶猛,情况不容乐观。
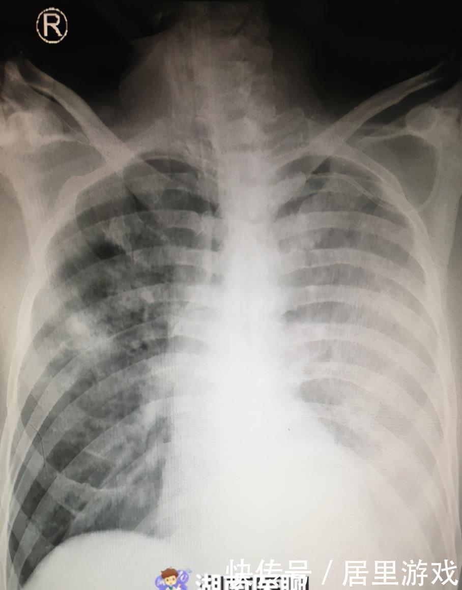
文章插图
(患者入院胸片)
黄亚林医师当即请示郴州市第三人民医院呼吸与危重症医学科主任谢阶飞见诊患者,提出了自己的临床分析。
因氧合差、患者极度烦躁不安,考虑特殊病原体所致重症肺炎可能性大。
呼吸频率快,呼吸窘迫明显,休克血压,生命体征不平稳,已不适合无创通气治疗,需转重症监护病房行气管插管有创机械通气治疗。
谢阶飞主任查看患者后,完全同意目前的临床分析。
充分同患者家属沟通后,在无创呼吸机辅助通气下、黄亚林医师与呼吸治疗师杨芳共同护送患者转移至ICU,并迅速建立人工气道。
行动脉血气分析提示氧合指数小于100,床旁胸片可见双肺广泛模糊实变影,尤其以左肺为甚,几乎看不到正常的肺组织,呈现出“白肺”改变。至此,患者“重症肺炎”诊断明确。
病情危重,医院迅速成立以副院长张声霆为组长的医疗救治小组,ICU、呼吸与危重症医学科、呼吸治疗师团队、护理团队等团队开展多学科协作。
此时新的问题接踵而来,综合患者的系列症状,考虑感染性病变所致可能性大。
但患者的病原体是什么呢?什么病原体可以导致如此凶险的病情?
病情凶险,已经没有半点犹豫的机会,找到病原学依据才能采取精准治疗,遏制患者病情迅速进展,挽救患者生命。
根据相关专家共识,患者有启动以mNGS为基础的病原学分析的指针,立即给予行支气管镜检查及肺泡灌洗,留取灌洗液、血液送常规微生物培养及mNGS检查。
在等待检查结果的两天时间里,给予广谱抗生素经验性抗感染治疗,维持患者生命体征、器官功能支持。
文章插图
(患者肺泡灌洗液、血mNGS检测报告)
36小时后患者肺泡灌洗液和血液mNGS检测结果提示:灌洗液和血液均检测到高序列的“鹦鹉热衣原体”。
至此,病情终于真相大白,诊断为“重症肺炎I型呼吸衰竭,鹦鹉热衣原体感染,脓毒血症”。
治疗小组调整针对性抗生素“多西环素”后,患者体温得到迅速控制,但患者氧合未见明显改善、呼吸机参数仍持续在高水平,同时患者出现肝功能不全、肾功能不全等多器官受损。
为迅速改善氧合,尽早撤机,呼吸与危重症医学科团队与ICU团队商议探讨且与患者家属充分沟通后,给患者给予俯卧位通气治疗。
文章插图
(郴州市三医院ICU团队与呼吸危重症医学科团队为患者实施俯卧位通气)
文章插图
(患者肺部影像学动态变化情况)
经过连续两天的俯卧位通气、多器官功能支持治疗后,患者氧合得到充分改善,呼吸机参数逐渐下调。
为避免呼吸机相关肺炎的发生,呼吸与危重症医学科与ICU组成的联合救治团队在气管插管的第7天为患者拔除了气管插管,改用经鼻湿化高流量氧疗。
在继续给予抗感染、氧疗、清醒俯卧位、护肝降酶、护肾排毒、营养支持等治疗后,患者各器官功能好转,于第10天转回普通病房继续康复治疗。
- 那些充满了矛盾感的人
- 婆媳关系的转变,是从什么时候开始的?
- 恋爱中,一个人不爱你的表现有哪些
- 被背叛的一方为什么会对抗?
- 经营感情的第一层境界是什么
- 东莞康华医院|年会聚餐挂横幅:“手术室里全是钱!”东莞康华医院:内容确实不妥
- 退休之后,我的生活过得非常幸福
- 背叛婚姻的人不改变,却要被背叛的一方做改变
- 为什么被背叛者会陷入神经症式的痛苦之中?
- 昆德拉为什么说“只活一次就好像没有活过”?看完《开端》,我悟了
